「元気クリニック内科・脳神経内科」は、JR南武線 『稲城長沼』 北口より徒歩1分、
東京都稲城市東長沼の内科・脳神経内科です

元気クリニック内科・脳神経内科

JR南武線「稲城長沼」駅より徒歩1分
CT・MRI完備

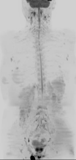
全身MRIがん検診(DWIBSドゥイブス検査)
 「被ばくなし・30分で全身を確認」

全身MRIがん検診(DWIBSドゥイブス検査)とは

DWIBS(Diffusion Weighted Imaging with Background Suppression)人間ドックは、MRIを用いて全身のがんや病変を調べる検査です。
放射線被ばくがなく、体への負担が少ないことから、近年注目されている人間ドックの一つです。
CTやPET-CTのような放射線検査に不安がある方でも、安心して受けていただけます。

全身MRIがん検診(DWIBSドゥイブス検査)の特長

  • 放射線被ばくなし(MRI検査)
  • 注射・造影剤を使用しない検査(※当院の検査方法)
  • 一度の検査で全身をチェック
  • がんの早期発見に有用
  • 身体的負担が少なく、検査後すぐに日常生活へ

こんな方におすすめです

  • がんの早期発見を重視したい方
  • 放射線被ばくが気になる方
  • 毎年の健康診断だけでは不安を感じている方
  • PET-CTやCT検査に抵抗がある方
  • 将来に向けて安心できる検査を受けたい方

他の全身検査との違い

検査方法 特徴
CT検査 放射線を使用
PET-CT 放射線+注射が必要
DWIBS 放射線なし・体にやさしい


DWIBSは、被ばくを避けながら全身を評価できる点が大きな特長です。

検査の流れ

STEP1.
ご予約
STEP2.
問診・説明
STEP3.
MRI検査(約20分)
STEP4.
専門医による画像読影
STEP5.
結果説明(後日)
※検査内容・所要時間は施設により異なります。

全身MRIがん検診(DWIBSドゥイブス検査)でわかること

DWIBS検査では、以下のような病変の発見に役立ちます。
■全身のがんの可能性
■リンパ節の異常
■骨・軟部組織の異常
 など
※すべての病変を発見できるわけではありません。
※必要に応じて追加検査をご案内する場合があります。

当院の全身MRIがん検診(DWIBSドゥイブス検査)の特長

  • MRI検査に精通した専門医が読影
  • 丁寧でわかりやすい結果説明
  • プライバシーに配慮した検査環境
  • 人間ドック・健診に特化したサポート体制

検査料金

Q. 痛みはありますか?
A. 痛みはありません。ベッドに横になって検査を受けていただきます。
Q. 検査後すぐに帰れますか?
A. はい。検査後は通常通りお過ごしいただけます。
Q. DWIBSで全てのがんが見つかりますか?
A. すべてのがんを発見できる検査ではありませんが、全身を一度に評価できる点が特長です。

よくあるご質問(FAQ)

「症状がない今こそ、将来の安心を。」

DWIBS人間ドックは、体にやさしい全身がん検査として、多くの方に選ばれています。
ご予約・ご相談はお気軽にお問い合わせください。

全身MRIがん検診
(DWIBSドゥイブス検査)
35000円
Web予約はこちら